ホワイトニング
もっと自分らしい笑顔が好きになる。

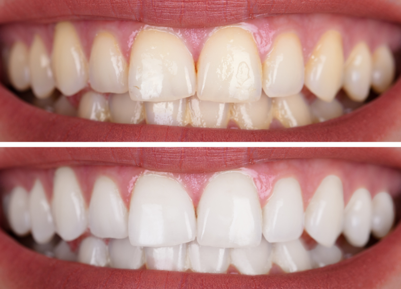
歯を削らない、輝く白さという選択
- 「コーヒーや紅茶が好きで、歯の黄ばみが長年の悩みになっている」
- 「結婚式や就職活動といった人生の大切な場面を、最高の笑顔で迎えたい」
- 「清潔感のある明るく若々しい印象を、相手に与えたい」
ご自身の歯の色について、そう感じたことはありませんか。
白い歯がこぼれる美しい笑顔は、その方の魅力を最大限に引き出し、自信を与え、コミュニケーションをより豊かにしてくれます。
ホワイトニングは、そのような願いを叶えるための歯を一切削ることなく、ご自身の歯が持つ本来の色を内側から明るく白くしていく、身体に優しい審美歯科治療です。
歯の表面に付着した着色汚れを落とす「クリーニング」とは異なり、専用の薬剤を用いて歯の内部の色素を分解することで、これまで諦めていた歯そのものの黄ばみを輝くような白さへと導きます。
クリア総合歯科クリニックでは、国家資格を持つ専門家が患者様一人ひとりのお口の状態を正確に診断した上で、厚生労働省の認可を受けた安全な薬剤のみを使用し、確実で質の高いホワイトニングを行っています。
憧れの白い歯を手に入れて、もっと自分らしい笑顔を好きになる。そのための第一歩を、私たちと一緒に踏み出してみませんか。
なぜ歯は色を変えるのか?歯の黄ばみの原因
歯の色が年齢や生活習慣とともに変化していくのには、いくつかの原因があります。ご自身の歯の黄ばみがどのタイプに当てはまるかを知ることが、適切な対処法を見つけるための第一歩となります。
外因性の着色(歯の表面の汚れ)
日々の飲食物に含まれる色素(ポリフェノールなど)が、歯の表面を覆う「ペリクル」というタンパク質の膜に付着し、蓄積することで起こる着色です。

主な原因
- コーヒー、紅茶、緑茶、赤ワイン
- カレー、醤油、ケチャップ、チョコレート
- タバコのヤニ(タール)
これらの着色は主に歯の表面の問題であるため、歯科医院での専門的なクリーニング(PMTC)によって、ある程度除去することが可能です。
内因性の変色(歯の内部からの変色)

歯の構造そのものの変化によって、内側から色が変化して見える状態です。
これはクリーニングで除去することはできず、ホワイトニングが効果を発揮する主な対象となります。
加齢による変化
年齢を重ねると、歯の表面を覆う半透明のエナメル質が日々の食事や歯ぎしりなどですり減って薄くなっていきます。
その結果、その内側にある元々黄色味を帯びた「象牙質」の色がより透けて見えるようになり、歯全体が黄色く見えるようになります。
テトラサイクリン歯
歯の形成期である幼少期(0〜12歳頃)に「テトラサイクリン系」という種類の抗生物質を服用した場合に起こる、歯の内部からの変色です。灰色や褐色、縞模様といった特徴的な色味を帯びます。
神経を失った歯(失活歯)
むし歯治療などで歯の神経を取り除くと、歯に栄養が行き渡らなくなり、時間とともに歯が内側から黒ずんでくることがあります。
歯科医院のホワイトニングとセルフホワイトニングサロンとの決定的違い
近年、街中や商業施設で「セルフホワイトニング」を謳うサロンが増えています。
手軽さから興味をお持ちの方もいらっしゃるかもしれませんが、歯科医院で行う「医療ホワイトニング」とは、その目的も効果も安全性も全く異なるものであることを、ぜひご理解ください。

違い1. 使用できる薬剤が、全く異なります
歯科医院のホワイトニングでは、歯を内側から白くする(漂白する)効果が医薬品として国に認められている「過酸化水素」や「過酸化尿素」という成分を使用します。
これらの薬剤は、歯科医師または歯科衛生士という国家資格を持つ専門家の管理下でしか取り扱うことが許可されていません。
一方、セルフホワイトニングサロンでは、これらの医薬品を使用することは法律で禁じられています。
そのため、使用される薬剤は主にポリリン酸ナトリウムや重曹といった「歯の表面の汚れを浮かせて落とす」ことを目的とした、化粧品や食品に分類される成分が中心です。
つまり、セルフホワイトニングは「歯の表面の掃除(クリーニング)」に近いものであり、「歯そのものの色を白くする(漂白)」効果は期待できません。
違い2. 安全性と専門性が、全く異なります
歯科医院では、ホワイトニングを始める前に必ず歯科医師がお口の中を診査し、「むし歯や歯周病がないか」「ひび割れや、お薬がしみてしまいそうな部分はないか」といった安全に施術を行うためのチェックを行います。
万が一、施術中に強い痛みを感じた場合や施術後にトラブルが起きた場合にも、医療機関として責任を持って対応します。
セルフホワイトニングサロンは医療機関ではないため、歯科医師は常駐していません。
お口の中の診査はなく、すべての工程を自分自身で行うため、むし歯がある歯に薬剤がしみて激痛を感じたり、薬剤が歯ぐきに付着して炎症を起こしたりといったトラブルが起きるリスクが伴います。
大切な歯の健康を守るためにも、ホワイトニングは必ず専門的な知識と技術を持つ歯科医院でお受けください。
当院のホワイトニングプログラム
3つの選択肢から、理想の白さとライフスタイルに合わせたプランを。
当院では、患者様が目指す白さのレベル、ご希望の期間、そしてライフスタイルに合わせてお選びいただけるよう、3つのホワイトニングプランをご用意しています。
オフィスホワイトニング ~短期間で、確かな効果を実感~

仕組みと特徴
歯科医院内ですべての工程を完了させるホワイトニングです。
歯科医師の管理下でしか扱えない高濃度の「過酸化水素」を主成分としたジェルを歯の表面に塗布し、そこに特殊な光(LEDライト)を照射することで、ジェルの効果を活性化させ、歯の内部の色素を短時間で分解していきます。
1回の施術(当院では約90分)で数段階の色の改善が期待できる、その即効性が最大の魅力です。
このような方に向いています
- 結婚式や同窓会など、大切なイベントを間近に控えている方
- ご自身でマウスピースを装着するなどの手間をかけたくない方
- まずは一度、ホワイトニングの効果をはっきりと実感してみたい方
ホームホワイトニング ~ご自宅で、じっくりと。透明感のある自然な白さへ~

仕組みと特徴
まず歯科医院で、患者様のお口にぴったりとフィットするオーダーメイドの「マウスピース(カスタムフィット・トレイ)」を作製します。
その後、ご自宅で比較的低濃度の「過酸化尿素」を主成分としたジェルをそのマウスピースに入れ、毎日一定時間(通常1〜2時間程度)、歯に装着していただく方法です。
約2週間から1ヶ月かけて、ゆっくりと薬剤を歯の内部に浸透させていくため、後戻りがしにくく白さの持続性が高いこと、そしてエナメル質を曇らせることなく白くするため、透明感のある自然な仕上がりになるのが特長です。
このような方に向いています
- ご自身の好きなタイミングで、マイペースにホワイトニングを進めたい方
- 白さをできるだけ長持ちさせたい方
- 奥歯まで含めて、歯列全体を均一に白くしたい方
- オフィスホワイトニング後の色の後戻りを防ぎたい方
デュアルホワイトニング ~理想の白さを、最短で、そして永く~

仕組みと特徴
歯科医院で行う「オフィスホワイトニング」と、ご自宅で行う「ホームホワイトニング」を期間を合わせて併用する方法です。
まずオフィスホワイトニングで一気に歯を白くし、その後ご自宅でのホームホワイトニングで、その白さをさらに内部に浸透させ、定着させていきます。
当院が最も推奨する、効果と持続性の両面で最も優れた結果を期待できるプランです。
このような方に向いています
- 可能な限り、最高の白さを目指したい方
- 効果を最短で実感し、かつその白さを最も長く維持したい方
私たちのこだわり

安全性と効果を両立した薬剤の選定
当院で使用するホワイトニング剤は、すべて厚生労働省の認可を受けた安全性の高い国内正規品のみです。その中でも、日本人特有の歯質に合わせて開発され、高い漂白効果と知覚過敏の起こりにくさを両立した、質の高い薬剤を厳選して採用しています。
「ホワイトニングコーディネーター」による専門的な施術
当院には、日本歯科審美学会が認定する「ホワイトニングコーディネーター」の資格を取得した専門知識と技術を持つ歯科衛生士が在籍しています。
初回のカウンセリングから、お口の状態に合わせた適切な施術、そして治療後のケア指導まで専門家が一貫して担当いたしますので、初めての方でも安心して施術をお受けいただけます。
ホワイトニングの流れと注意点
輝く笑顔を手に入れるまでのステップ

カウンセリング・口腔内診査
まず、ホワイトニングコーディネーターが患者様が目指す白さのイメージやご希望を詳しくお伺いします。
その後、歯科医師がお口の中を診査し、むし歯や歯周病などホワイトニングの妨げとなる問題がないかを確認します。
クリーニング
歯の表面に歯石やステインが付着していると、ホワイトニング剤が十分に浸透せず色ムラの原因となります。効果を最大限に引き出すため、事前に専門的なクリーニング(PMTC)で歯の表面をきれいに磨き上げます。
シェードテイキング
現在の歯の色を「シェードガイド」という専門の色見本を用いて客観的に測定し、写真で記録します。
治療後の色の変化をご自身の目で比較・確認していただくための大切な工程です。
ホワイトニング施術、またはマウスピース作製
プランに応じて、オフィスホワイトニングの施術あるいはホームホワイトニング用のマウスピースの型取りを行います。
アフターケアのご説明
施術後、白さを長持ちさせるための食事に関する注意点や日々のケアの方法について、詳しくご説明します。
ホワイトニングをお受けいただく前に
安全で効果的なホワイトニングを行うため、以下に該当する方は施術をお受けいただけない、あるいは事前の処置が必要となる場合があります。
- むし歯や重度の歯周病がある方
(薬剤がしみたり、症状を悪化させたりする危険があるため、まず先に治療が必要です) - 妊娠中・授乳中の方、あるいはその可能性のある方
- 無カタラーゼ症の方(過酸化水素を分解できない遺伝性の疾患です)
- エナメル質形成不全症、重度の知覚過敏症の方
- 光線過敏症の方(オフィスホワイトニングの場合)
また、詰め物や被せ物といった人工の歯はホワイトニングで白くすることはできません。ご自身の歯が白くなった結果、以前に治療した人工の歯の色が目立ってしまうことがあります。
その場合は、周りの歯の色に合わせて人工の歯を新しく作り替える治療(審美治療)をご提案します。
白さを長持ちさせるために

ホワイトニングによって手に入れた白さは、残念ながら永久ではありません。日々の生活の中で少しずつ元の色へと戻っていきます(色戻り)。
しかし、少しの心がけでその美しい白さをより長く維持することが可能です。
ホワイトニング直後の食事制限
施術後24時間〜48時間は、歯の表面を保護している膜(ペリクル)が一時的に失われ最も色が付きやすい状態です。この期間は、色の濃い飲食物をできる限り避けていただく必要があります。
| 避けるべき飲食物 | 摂取しても良い飲食物 |
|---|---|
| コーヒー、紅茶、日本茶、赤ワイン、カレー、醤油、味噌、ケチャップ、ソース、ベリー系の果物、色の濃い野菜、チョコレート、タバコなど | 水、牛乳、白米、パン、塩ラーメン、クリームシチュー、白身魚、鶏肉、じゃがいも、大根など(色の白いもの) |
日常的なケア

日常的に着色しやすい飲食物を摂取した後は、なるべく早くお口をゆすいだり歯を磨いたりする習慣をつけましょう。
また、ホワイトニング効果のある歯磨き粉を日々のケアに取り入れるのも効果的です。
定期的なメンテナンスとタッチアップ

3ヶ月から半年に一度、歯科医院で定期的なクリーニングを受け歯の表面に付着したステインをリセットすることで、白さを維持しやすくなります。
また、少し色戻りが気になってきたタイミングで追加のホワイトニング(タッチアップ)を行うことで、再び輝くような白さを取り戻すことができます。
ホームホワイトニングの方は、追加のジェルをご購入いただくだけで手軽にタッチアップが可能です。

096-334-8020