こんなお悩み・症状は
ありませんか?
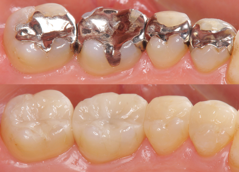
- 口を開けたときに銀歯がギラギラと目立つ
- 前歯の色合いや形、隙間が気になる
- 金属アレルギーの症状が気になる
- 歯が汚れているような色合いで悩んでいる
- 歯が黄ばんでいるので、実年齢よりも老けて見える
ドクターからの
アドバイス
「銀歯がギラギラと目立つ」のが気になる方は、金属製の詰め物やかぶせ物をセラミックの白い素材に変えることでお悩みが解決します。このセラミックの白い素材は、付け爪のように使用することもできるので、前歯の色合いや形の調整で用いることも可能です。
さらに、セラミックは金属を使用していません。金属アレルギーでお悩みの方も安心してご使用いただけます。
クリア歯科の
審美治療
当院では、歯や口元の美しさを追求する「審美治療」を行っています。
虫歯治療などで歯を欠損した際、それを補うために詰め物・かぶせ物を使用しますが、
従来の保険診療であれば、
金属が含まれる銀色の素材(いわゆる銀歯)を用いることが大半です。
そこで審美治療では、口を開けたときに銀歯が目立つのが気になるという方に対して、
白く美しいセラミック素材を用いた治療を行っています。
また、前歯の色調や形が気になるという方には、
付け爪タイプの白い素材を貼りつける「ラミネートべニア」という
治療にも対応しています。
当院の審美治療のこだわり
-
前歯の治療などでは
歯科技工士が現場で確認微細な調整が求められる前歯の治療などでは、高い技術力を持った歯科技工士を当院に招き、医師や患者さまと現場で相談しながら色彩や噛み合わせの調整を行っています。直接やり取りを行うことで、理想の仕上がりに近づくのが大きなメリットです。
-
コンピュータ上での確認で
より確実な仕上がりに審美治療では、色彩調整といった見た目のことはもちろん、適合性や噛み合わせといった機能面の調整もとても大切です。当院では、患者さまのお口の中の形状をカメラで撮影した後にコンピュータ上でデータ化し、詰め物やかぶせ物との適合性や噛み合わせの確認を細かく行っています。
審美治療のメリット
-
汚れがつきにくく、変色しにくい
素材を使用するので審美性が高い -
素材が歯にしっかりと接着するので
銀歯のように外れることが少ない -
白く美しい歯になることで、清潔感や若々しい印象を与える
-
金属性の素材を使わないので
金属アレルギーの心配がない -
素材は天然歯に接着するので
隙間から虫歯が発生するリスクが
抑えられる -
自分に自信を持つことで
社交的・行動的になってくるなど
前向きな気持ちが湧いてくる
取り扱い種類について
審美治療で用いる素材の種類
-
e.max(イーマックス)
すべてがセラミックでできている素材で、あらゆる面で従来のセラミック素材よりも優れた特性を持っています。なかでも審美性に優れており、天然歯と見分けがつかないような半透明性で、周囲の歯に合わせて微細な色に調節できるのもポイントです。変色しないため長持ちしやすく、金属アレルギーの心配もありません。天然歯との密着度が高いので、虫歯のリスクも抑えられます。
-
ジルコニア/ハイブリッドジルコニア
人工ダイアモンドともいわれる「ジルコニア」は、強度が非常に高く、審美性に優れた素材として多く用いられています。
身体への親和性(馴染み)が高く、金属アレルギーの心配がありません。
強く丈夫な素材なので、奥歯への使用にも最適。耐久性、耐熱性、耐腐食性が高く、長持ちしやすいのも魅力です。
ジルコニア単体だと色合いの透明感が低いため、別の素材を混ぜて透明感をあげたハイブリッドジルコニアもご用意しております。
審美治療で用いる補てつ物の種類
-
クラウン(かぶせ物)
歯の欠損した部分を覆うようにして補う歯冠のことで、歯の「かぶせ物(クラウン)」といわれます。
-
インレー(詰め物)
虫歯治療などで歯の一部に空洞部分ができた際、それを補うために詰める素材を「インレー(詰め物)」をいいます。
-
ラミネートべニア
主に前歯の色合いや形を調整するために、歯の表面を少しだけ削り、付け爪のような白いセラミック素材を貼りつける審美治療です。
審美治療の流れ
-
カウンセリングの
ご予約まずはお電話にて、カウンセリングのご予約をお願いいたします。
-
カウンセリング
ご来院の際にカウンセリングを行います。歯や口元の審美に対してどのように悩んでおられるのか、治療期間や通院頻度、ご予算などに対するご要望をお伺いします。何でも遠慮なくお話ください。
-
診療・検査
カウンセリングをもとに、患者さまのお口の中の状態を診察いたします。
審美治療の効果がきちんと出る状態であるかを確認すると同時に、虫歯や歯周病などがあれば、そちらから治療をいたします。 -
治療プランのご説明
カウンセリング、診察(検査)を踏まえて、患者さまにとって最適な審美治療のプランをご提案いたします。その際は、治療方法、予想される治療期間、通院頻度、ご予算など詳しくご説明いたしますので、ご不明な点がありましたら何でもお尋ねください。治療プランにご納得いただけましたら、治療スタートとなります。※当院にて強引な勧誘はいたしませんので、ご安心ください。
-
治療スタート
治療プランに沿って、治療をスタートいたします。
治療途中でもご不明な点やご要望などありましたら、遠慮なく医師やスタッフにお伝えください。 -
治療終了・アフターメ
ンテナンス治療が終了したら、あとは必要に応じてメンテナンスで通院いただきます。





