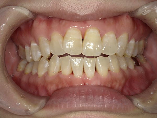
ホワイトニング症例
症例その5
| 通院時年齢 | 20代 |
|---|---|
| 性別 | 女 |
| 通院目的 | 歯を白くしたい |
| 診断 | |
| 通院目的 (または主訴) |
|
| 通院期間・治療回数 | 4回 |
| 費用 | 保険診療のメインテナンス ホームホワイトニング33,000円 |
| リスク、副作用 | 薬剤の影響で歯がしみることがあり、多くの場合は数日以内に自然に改善します。薬剤が歯ぐきや口腔内の粘膜に触れると赤みや腫れ、痛みが起こることがあり、通常は数日で治まります。もともと歯にある白い斑点や筋(ホワイトスポット・バンド)が、周囲の歯が白くなることで一時的に目立つことがあります。治療後に一時的な痛みを感じることもありますが、多くは自然に軽快します。効果には個人差があり、希望通りに白くならない場合もあります。なお、使用する薬剤が国内未承認である場合には、公的な医薬品副作用救済制度の対象外となります。 |
術前
術後





